Download
Case report

Calcification of bladder wall after intravesical mitomycin C therapy: a case report and review of literature

Dwayne T. S. Chang*, Mikhail Lozinskiy
Department of Urology, Rockingham General Hospital, Rockingham, WA 6168, Australia
*Corresponding author: Dwayne T. S. Chang, Email: dwayne.chang@health.wa.gov.au
Competing interests: The authors have declared that no competing interests exist.
Abbreviations used: CT, computed tomography; HE stain: hematoxylin and eosin stain; TCC, transitional cell carcinoma; TURBT, transurethral resection of bladder tumor
Received December 30, 2019; Revision received March 2, 2020; Accepted March 11, 2020; Published March 24, 2020
Abstract
Bladder wall calcification is an under-reported adverse effect of intravesical mitomycin C therapy. We report our experience of a man who developed extensive bladder wall calcification within three weeks of being treated with just a single 40 mg dose of intravesical mitomycin C for non-muscle invasive, low-grade transitional cell carcinoma of the bladder. To date, only six other cases were reported in the scientific literature in English, all of which used higher doses of mitomycin and had a longer time to diagnosis than this case. We compared the salient points of this case with previously reported cases.
Key words: bladder cancer, mitomycin, side effects

INTRODUCTION

The current standard of care recommended by the American Urological Association and Society of Urologic Oncology is the administration of a single postoperative instillation of intravesical mitomycin C within 24 h of transurethral resection of bladder tumor (TURBT) of low- or intermediate-risk bladder transitional cell carcinoma (TCC) [1]. With increased use of intravesical mitomycin C, more observations of side effects have emerged. One such adverse effect of intravesical mitomycin C is bladder wall calcification. To date, only six other such cases were reported [2-7]. We present the case of a patient who developed this adverse effect rapidly after the use of intravesical mitomycin C and discuss the literature relevant to this presentation.

Case presentation

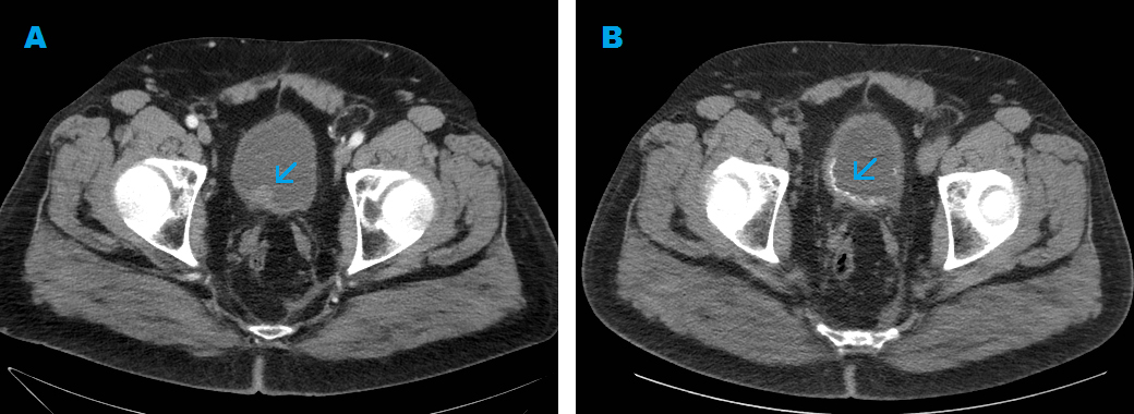
Our patient was a 65-year-old man who had ultra-low anterior resection and chemo-radiotherapy for rectal cancer. On follow-up computed tomography (CT) scan of the abdomen and pelvis a year later, he was found to have a bladder mass (Fig. 1). He subsequently underwent elective TURBT and received intravesical mitomycin C (40 mg diluted in 40 ml of saline 0.9%) within 6 h post-operatively. Histology revealed non-invasive, low-grade TCC. Three weeks later, a follow-up CT scan of the abdomen and pelvis was performed for routine follow-up of the rectal cancer; this scan incidentally detected calcification of the bladder wall at the surgical resection site (Fig. 1). He was asymptomatic. Cystoscopy and cystolitholapaxy was then performed for presumed bladder calculi, approximately three months after the TURBT. Extensive stone-like, whitish calcification of the bladder wall at the surgical resection site was found (Fig. 2), not merely slough or soft tissue material. These lesions were further resected down to the detrusor muscle layer as the material was not amenable to washout. Histology (Fig. 3) revealed chronic inflammation of urothelium and fragments of refractile, hard-edged material which was found to be made up of calcium phosphate. There were no features of malignancy. He had normal serum calcium and phosphate levels and no known history of exposure to tuberculosis or schistosomiasis or travel to Africa, Middle East or South East Asia. He had no symptoms of interstitial cystitis. Aside from the history of rectal cancer and associated therapy, he had no other relevant oncological history. He received intravenous fluorouracil, folinic acid and oxaliplatin adjuvant chemotherapy for rectal cancer with the final cycle administered more than 12 months prior to this diagnosis of bladder wall calcification. He never received any intravesical therapy prior to the single dose of mitomycin C administered after the initial TURBT. In view of the rapid onset and localized involvement of the resection site, the bladder wall calcification was most likely secondary to intravesical mitomycin C treatment. Since this episode, there was no further recurrence or long-term consequence. Thus, no further treatment was required aside from routine cystoscopy for follow-up of non-muscle invasive, low-grade bladder cancer.
Figure 1. Axial view of CT scan showing a bladder mass (blue arrow in Figure 1A) on the posterior wall (A) and calcification (blue arrow in Figure 1B) on the posterior bladder wall at the resection site (B).
Figure 2. Cystoscopy revealed extensive whitish calcification of the bladder wall, especially at the previous surgical resection site.
Figure 3. Histopathology images of resected bladder calcification areas. A. Concretions forming large solid islands in a background of fibrosis and inflammation (HE stain, 20×). B. Large sheet-like area of foreign material/concretions (upper field), with a multinucleated giant cell (heavy arrow) and two small concentric concretions (thin arrows) in the foreground (HE stain, 40×).

DISCUSSION

Our case demonstrated that bladder wall calcification can develop rapidly, even within three weeks after intravesical mitomycin C administration. This was much sooner than other cases reported in the scientific literature in English, where the bladder wall calcification was found between ten weeks [2] to three years [3] after commencement of treatment [2-7]. Furthermore, this side effect developed in our case from the administration of just a single 40 mg dose, as compared to at least six or more instillations in other reported cases [2-7]. Although two cases utilized lower dosages of mitomycin C of 6 mg and 20 mg per instillation, these were repeated multiple times resulting in cumulative doses that far exceeded 40 mg before the side effect was detected [4,7]. Our case documented the lowest cumulative dose that resulted in this side effect.
Including this case, most patients with this side effect were generally asymptomatic with this finding, which was often detected at routine follow-up cystoscopy [4,5,7]. Two cases reported urinary frequency and per urethral passage of a stone fragment at the time of diagnosis [3,6]. Repeated TUR was performed for all reported cases to treat this side effect, along with a change of intravesical therapy in some cases. As with this case, there was no report of further recurrence or long-term consequence beyond the initial treatment for this side effect once the use of intravesical mitomycin C was ceased [2-7]. Delayed healing and tumor recurrence after TURBT may present as soft fluffy tissue, which varies from the hard calcification characteristic of this side effect.

Conclusion

In conclusion, bladder wall calcification is an under-reported adverse effect that can occur within three weeks of just a single standard dose of intravesical mitomycin C. Clinicians who are able to differentiate this side effect from true tumor recurrence may help avoid unnecessary repeated TURBT.

Acknowledgments

We would like to thank Dr. Eleanor Koay from the Fremantle Hospital Department of Anatomical Pathology (WA, Australia) for her contribution to the production and discussion of the histological images.

References

  1. Chang SS, Boorjian SA, Chou R, Clark PE, Daneshmand S, et al. (2016) Diagnosis and Treatment of Non-Muscle Invasive Bladder Cancer: AUA/SUO Guideline. J Urol 196: 1021-1029. doi: 10.1016/j.juro.2016.06.049. [View Article] [PubMed] [Google Scholar]
  2. Pouya M, Van Cangh PJ, Wese FX, Opsomer RJ, Saleh M (1995) Calcification of the bladder wall following instillation of mitomycin C. Apropos of a case report. Acta Urol Belg 63: 19-21. [PubMed] [Google Scholar]
  3. Alter AJ, Malek GH (1987) Bladder wall calcification after topical mitomycin C. J Urol 138: 1239-1240. doi: 10.1016/s0022-5347(17)43564-6. [View Article] [PubMed] [Google Scholar]
  4. Liu CC, Chou YH, Huang CH, Tsai KB (2001) Bladder wall calcification after intravesical chemotherapy with mitomycin C--a case report. Kaohsiung J Med Sci 17: 274-277. [PubMed] [Google Scholar]
  5. Fiore AA, Iorio B, Vennarecci G, Venditti D, Cervelli V, et al. (1993) Papillary-like bladder calcifications following intravescical mitomycin C. A case report. Minerva Urol Nefrol 45: 171-173. [PubMed] [Google Scholar]
  6. Llopis M, Moreno J, Botella R, Algado M (1993) Incrusted cystitis after intravesical mitomycin C treatment. Acta Urol Belg 61: 21-23. [PubMed] [Google Scholar]
  7. Drago PC, Badalament RA, Lucas J, Drago JR (1989) Bladder wall calcification after intravesical mitomycin C treatment of superficial bladder cancer. J Urol 142: 1071-1072. doi: 10.1016/s0022-5347(17)38992-9. [View Article] [PubMed] [Google Scholar]