Research Articles

Sensation in the urethra during voiding studied in young healthy men

Jean Jacques Wyndaele, Sigrid Van de Borne, Michel Wyndaele, Stefan De Wachter
Abstract 93 | HTML Downloads 31 PDF Downloads 39 | DOI https://doi.org/10.14440/bladder.2016.82

Page e23

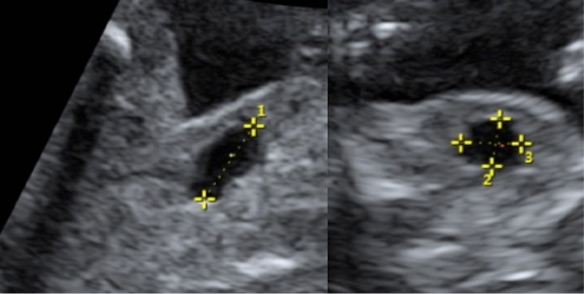
Repeatability of volume calculations of the fetal urinary bladder

Trude Sætherhaug, Marit Hølmo Fasting, Maria Aurora H. Røset, Mike Naylor, Harm-Gerd K. Blaas, Torbjørn M. Eggebø
Abstract 78 | HTML Downloads 36 PDF Downloads 37 | DOI https://doi.org/10.14440/bladder.2016.75

Page e24

Ex vivo modulation of muscarinically induced contractions by PGE2 and an EP1 receptor antagonist in the guinea pig urinary bladder

Ramona Hohnen, M. Sajjad Rahnama'i, Matthijs van Gink, Celine Meriaux, Gommert A. van Koeveringe
Abstract 71 | HTML Downloads 40 PDF Downloads 33 | DOI https://doi.org/10.14440/bladder.2016.72

Page e25

Reviews